
CT와 MRI, 뭐가 다를까? 꼭 알아야 할 차이점 정리
병원에서 건강검진이나 정밀검사를 받다 보면 의사 선생님이 “CT 찍어보자” 또는 “MRI로 확인해보자”라고 권하는 경우가 있습니다. 이름은 많이 들어봤지만, 일반인에게는 두 검사가 어떻게 다른지, 왜 굳이 MRI를 찍어야 하는지 헷갈리기 마련입니다. 이번 글에서는 CT와 MRI의 원리·차이점·장단점을 과학적으로 정리해드리겠습니다.
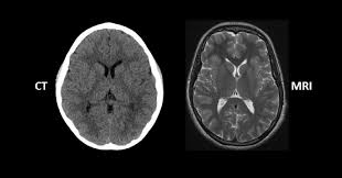
🔬 1. 촬영 원리의 차이
- CT(Computed Tomography): X선을 여러 각도에서 쏜 뒤 컴퓨터로 재구성해 단면 영상을 얻는 검사입니다. 쉽게 말해 고성능 X-ray를 360도에서 찍고 컴퓨터가 합쳐주는 방식입니다.
- MRI(Magnetic Resonance Imaging): 강력한 자기장과 전파를 이용해 인체의 수소 원자 반응을 영상화하는 방식입니다. 방사선을 사용하지 않고 자기장을 이용한다는 점이 CT와 큰 차이입니다.
🧠 2. 주로 보는 부위의 차이


- CT: 폐, 간, 신장, 뼈처럼 구조가 뚜렷하고 밀도 차이가 큰 장기를 잘 보여줍니다. 특히 교통사고 외상, 뇌출혈, 폐렴, 암 전이 확인 등에 널리 쓰입니다.
- MRI: 뇌, 척수, 근육, 인대, 연골처럼 연부조직(soft tissue)을 정밀하게 볼 수 있습니다. 뇌종양, 허리디스크, 무릎 인대 손상 같은 경우 MRI가 필수적입니다.
⚖️ 3. 장단점 비교
- CT 장점: 검사 속도가 빠르고, 응급실에서 바로 확인이 가능하며 비용이 저렴합니다. 단점은 방사선 피폭이 있다는 점입니다.
- MRI 장점: 방사선이 전혀 없고, 연부조직 표현력이 뛰어나 훨씬 정밀한 영상이 가능합니다. 단점은 검사 시간이 길고(30분~1시간), 소음이 크며, 비용이 비쌉니다.
🚑 4. 실제 사용 사례
- 교통사고 환자: 두부 손상 여부를 확인하기 위해 빠른 CT 촬영이 우선.
- 허리 통증 환자: 단순 뼈 문제는 CT로 확인하지만, 디스크나 신경 압박 여부는 MRI가 더 정확합니다.
- 암 환자: 전이는 CT로 확인, 종양의 정확한 범위·신경 침범 여부는 MRI로 확인합니다.
💵 5. 비용 차이
- CT: 보험 적용 시 보통 5만~15만 원 선.
- MRI: 보험 적용 여부에 따라 다르지만, 최소 30만 원에서 수백만 원까지 갈 수 있습니다.
💬 깨르르경제쌤 한마디
CT와 MRI는 서로 경쟁 관계라기보다는 서로 보완하는 검사입니다. CT는 빠르고 효율적이라 응급 상황에 적합하고, MRI는 정밀하고 안전해 만성 질환 진단에 적합합니다. 방사선 피폭을 최소화하면서도 필요한 정보를 얻기 위해 의사가 상황에 따라 선택하는 것이지요. 그러니 CT냐 MRI냐 고민하기보다는, 현재 증상과 상황에 맞는 선택을 믿고 따르는 것이 현명합니다.
2025.08.29 - [다 알려드림] - 산부인과 출산 중 발생한 아기 상처 사고, 어떻게 대처해야 할까
산부인과 출산 중 발생한 아기 상처 사고, 어떻게 대처해야 할까
산부인과 출산 중 발생한 아기 상처 사고, 어떻게 대처해야 할까?출산은 가족에게 가장 기쁜 순간이지만, 간혹 예상치 못한 의료사고가 발생하기도 합니다. 특히 제왕절개나 난산 과정에서 아기
kkaerulife.com
2025.08.29 - [다 알려드림] - 현관문 앞에 물건 쌓아두는 이웃, 불법일까? 현명한 대처법
현관문 앞에 물건 쌓아두는 이웃, 불법일까? 현명한 대처법
현관문 앞에 물건 쌓아두는 이웃, 불법일까? 현명한 대처법아파트나 빌라에 살다 보면 복도나 현관문 앞에 생수, 휴지, 택배 상자 등이 산더미처럼 쌓여 있는 집을 종종 볼 수 있습니다. 처음엔
kkaerulife.com
2025.08.29 - [다 알려드림] - 공산품 음식에서 이물질이 나왔다면? 현명한 대처법
공산품 음식에서 이물질이 나왔다면? 현명한 대처법
.공산품 음식에서 이물질이 나왔다면? 현명한 대처법가족을 위해 정성껏 준비한 간식에서 갑자기 금속 조각이나 벌레 같은 이물질이 나온다면 누구라도 당황할 수밖에 없습니다. 특히 물만두,
kkaerulife.com
2025.08.29 - [다 알려드림] - 대기업은 왜 수습기간을 둘까? 진짜 정규직 전환 못 하고 잘릴 수도 있을까?
대기업은 왜 수습기간을 둘까? 진짜 정규직 전환 못 하고 잘릴 수도 있을까?
대기업 수습기간, 진짜 잘릴 수도 있을까?취업 준비생이나 이직 준비자라면 누구나 한 번쯤 “수습기간”이라는 말에 긴장해본 적이 있을 겁니다. 특히 대기업에 입사할 때도 대부분 3개월 내외
kkaerulife.com
2025.08.28 - [다 알려드림] - 선크림, 괜히 바르는 거 아니다…실내 자외선의 진실
선크림, 괜히 바르는 거 아니다…실내 자외선의 진실
창문만 있어도 피부가 늙는다? 실내 선크림의 과학적 근거 총정리많은 사람들이 “집에 있는데도 선크림을 꼭 발라야 할까?”라는 의문을 갖습니다. 일부 의사는 ‘무조건 발라라’고 권유하고
kkaerulife.com
https://link.coupang.com/a/cNrBvm
이 포스팅은 쿠팡 파트너스 활동의 일환으로, 이에 따른 일정액의 수수료를 제공받습니다.
https://link.coupang.com/a/cNrDiV
깨르르마켓 실리콘 물빠짐 드라잉매트 식기건조 - 식기건조대 | 쿠팡
쿠팡에서 깨르르마켓 실리콘 물빠짐 드라잉매트 식기건조 구매하고 더 많은 혜택을 받으세요! 지금 할인중인 다른 식기건조대 제품도 바로 쿠팡에서 확인할 수 있습니다.
www.coupang.com
주방 예쁜 카페 업소용 앞치마 방수 방유 원피스, 진한 파란색, 1개 - 앞치마 | 쿠팡
쿠팡에서 주방 예쁜 카페 업소용 앞치마 방수 방유 원피스, 진한 파란색, 1개 구매하고 더 많은 혜택을 받으세요! 지금 할인중인 다른 앞치마 제품도 바로 쿠팡에서 확인할 수 있습니다.
www.coupang.com
'다 알려드림' 카테고리의 다른 글
| 카레, 몸에 해롭다는 소문은 사실일까? 과학적 연구로 따져봤습니다 (0) | 2025.08.29 |
|---|---|
| 한국 여성, 꼭 산후조리원을 가야 할까? (6) | 2025.08.29 |
| 산부인과 출산 중 발생한 아기 상처 사고, 어떻게 대처해야 할까 (1) | 2025.08.29 |
| 현관문 앞에 물건 쌓아두는 이웃, 불법일까? 현명한 대처법 (1) | 2025.08.29 |
| 공산품 음식에서 이물질이 나왔다면? 현명한 대처법 (2) | 2025.08.29 |